Dental Implant vs Dental Bridge: Which Is Right for You?

Dental Implant vs Dental Bridge: Which One is the Best Option for You?

Losing a tooth or more teeth is never just about appearance. Many patients tell us they feel uncomfortable chewing, not confident smiling in photos, or worry about what might happen if they leave the gap untreated.

When you come to a clinic with a missing tooth or more, the same question comes up again and again:

“Should I choose a dental implant or a dental bridge?”

There’s no one size fits all answer. Both options can work very well,  the right choice depends on you and also the condition of the gap. Let’s walk through it together in a simple, honest way.

What Is a Dental Implant, in Simple Terms?

A dental implant is designed to replace the entire tooth, including the root.

A small titanium post is placed into the jawbone. Over time, the bone naturally bonds with it, creating a strong foundation. Once it has healed, we place a crown on top that looks and feels like a natural tooth.

Most patients are surprised by how normal an implant feels and many forget which tooth was replaced.

Why patients would choose dental implants:

  • They stand on their own and don’t affect neighboring teeth
  • They feel very stable when chewing
  • They help maintain jawbone strength
  • With good care, they can last for decades

Things to consider:

  • Treatment takes longer because healing is needed. Patient who needs quick replacement will consider to have dental bridge more.
  • The initial cost is higher, even though the price gap is not very different.
  • Not everyone has enough bone without additional procedures

What Is a Dental Bridge?

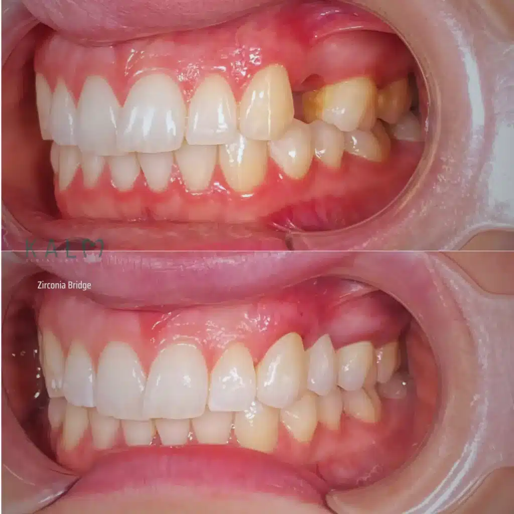
A dental bridge “bridges” the gap left by a missing tooth. The teeth on either side of the space are shaped and covered with crowns. These crowns support a false tooth in the middle, like a bridge, restoring your smile and function.

A bridge does not replace the tooth root, it is only replace the visible part.

Why some patients choose a bridge:

  • Treatment is much faster
  • No surgical procedure is needed
  • The upfront cost is lower

Things to consider:

  • Healthy teeth next to the gap must be trimmed
  • The jawbone under the missing tooth continues to shrink.
  • Bridges usually need replacement after several years due to receded gum and gum reduction.
Dental Bridge
Dental Bridge
Dental Implant
Dental Implant
Dental Bridge
Dental Bridge
Dental Implant
Dental Implant

The Real Difference: Implant vs Bridge

 Dental ImplantDental Bridge
Affects nearby teethNoYes
Replaces tooth rootYesNo
Bone preservationYesNo
LongevityVery longModerate
Treatment timeLongerShorter

Which Option Do We Usually Recommend?

At Kalm Dental Care, we don’t push one treatment over another.

We usually recommend dental implants when:

  • The surrounding teeth are healthy

  • Bone condition is suitable

  • The patient wants a long term solution

  • Comfort and stability are priorities

We may recommend a dental bridge when:

  • Time is limited

  • Budget is a concern

  • Implants are not medically suitable

  • The bridge is intended as a temporary solution

  • Bone support is inadequate.
 

Sometimes, a bridge is the right answer, and that is completely okay.

Both treatments are safe when done properly. That said, dental implant have a very high success rate and are widely considered the gold standard for replacing missing teeth.

At Kalm Dental Care, every case starts with careful planning, and clear communication, so patients always understand what to expect.

What About Cost?

It is true that dental implants cost more at the beginning. However, many patients do not realize that bridges often need to be replaced over time, while implants can last much longer. Please find the price for both here.

For international patients, Bali has become a popular destination because high quality dental implant can be more affordable here, without compromising safety, materials, or standards.

Our Honest Advice

If you are unsure, that is completely normal. Many patients come in feeling confused after reading different opinions online.

The best next step is not choosing a treatment but to have a proper consultation. We take the time to look at your teeth, bone condition, lifestyle, and expectations, then explain your options clearly and calmly.

If you are considering a dental implant or bridge, we are here to guide you honestly and professionally. Kalm Dental Care is located in Kerobokan, Bali, close to Canggu and Seminyak. We focus on advanced dentistry delivered in a calm, comfortable environment, because good dental care should never feel rushed or stressful.

 

Book an Appointment

Contact us to schedule your appointment or to recieve more information about Dental Implant

Frequently Asked Questions (FAQs)

Are dental implants in Bali safe?

Yes, if performed by a qualified dentist in a certified clinic. At Kalm Dental Care, we use international protocols and FDA-approved materials.

How long does the implant process take?

It typically takes 3–6 months, with two main visits: one for implant placement, and one for the final crown.

Is Bali a good place for dental tourism?

Absolutely. Bali offers affordable, high-quality dental care in a relaxing environment. Many visitors combine dental treatment with a vacation.

Can I get a quote and treatment plan before I arrive?

Yes, we can provide a detailed quote and treatment plan in advance. If you already have a recent X-ray, feel free to share it with us  it will help us determine exactly what needs to be done before your visit.

Related Posts

WhatsApp KalmDentalCare.com